更多
相关文章
疾病简介
血栓性微血管病(thrombotic microangiopathy,TMA)是一组急性临床综合征,呈微血管病性溶血性贫血、血小板减少及由于微循环中血小板血栓造成的器官受累的表现。微血管主要是指微小动脉、毛细血管和微小静脉,其突出的病理特点为小血管内皮细胞病变,表现为内皮细胞肿胀、官腔狭窄,部分小血管腔内可见血栓形成。虽然病理上微血管的病变一致,但病因多种多样,其发病机制也不相同。经典的血栓性微血管病主要指溶血尿毒综合征(hemolytic uremic syndrome,HUS)和血栓性血…
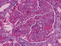
血栓性微血管病(thrombotic microangiopathy,TMA)是一组急性临床综合征,呈微血管病性溶血性贫血、血小板减少及由于微循环中血小板血栓造成的器官受累的表现。微血管主要是指微小动脉、毛细血管和微小静脉,其突出的病理特点为小血管内皮细胞病变,表现为内皮细胞肿胀、官腔狭窄,部分小血管腔内可见血栓形成。虽然病理上微血管的病变一致,但病因多种多样,其发病机制也不相同。经典的血栓性微血管病主要指溶血尿毒综合征(hemolytic uremic syndrome,HUS)和血栓性血小板减少性紫癜(thrombotic thrombocytopenic purpura,TTP)。HUS和TTP同属于血栓性微血管病,其区别在于HUS是以儿童为主的疾病,肾功能损害更明显;而TTP主要发生于成人,神经系统症状更为突出。其他常见的血栓性微血管病病因还包括恶性高血压、硬皮病肾危象、妊娠相关的肾脏损害等,目前有人将抗磷脂综合征也纳入血栓性微血管病的 范畴。
血栓性微血管病(thrombotic microangiopathy,TMA)是一组急性临床综合征,呈微血管病性溶血性贫血、血小板减少及由于微循环中血小板血栓造成的器官受累的表现。微血管主要是指微小动脉、毛细血管和微小静脉,其突出的病理特点为小血管内皮细胞病变,表现为内皮细胞肿胀、官腔狭窄,部分小血管腔内可见血栓形成。虽然病理上微血管的病变一致,但病因多种多样,其发病机制也不相同。经典的血栓性微血管病主要指溶血尿毒综合征(hemolytic uremic syndrome,HUS)和血栓性血…
相关科室
山东省立医院肾内科成立于1986年,是山东省医学会肾脏病分会主委单位、山东省肾脏病质控中心、卫生部首批腹膜透析培训示范中心、卫生部肾脏病临床药师培训基地、国家肾脏疾病临床医学研究中心山东分中心、国家肾脏疾病临床医学研究中心核心单位、山东省临床重点专科、硕士博士学位授予点、博士后流动站。学科作为山东省肾脏疾病临床、科研、教学、培训中心,为全省肾脏病专业的发展发挥着带头和指导作用。科室下设中心院区病房、东院区病房和血液净化中心,开放床位68张,拥有血液透析机37台、连续性血液净化机4台和血液灌流机1台。科室现有医务人员65人,其中高级职称16人,博士生导师3人,… [详细]
版权所有:伟德1949官方网站
Copyrights © 2022 qdbpt.com All Rights Reserved联系电话:0531-87938911
ICP备案:鲁ICP备11002409号
