您所在的位置: 首页 >>新闻中心 >>技术引领

新闻中心

技术引领

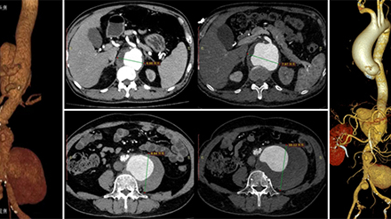
  • 近期,伟德1949官方网站(山东省立医院)进行了2023年度技术创新奖和重大抢救奖评选。为让社会大众更深入、更精准地认识医院优秀科室,展现医院近年来疑难复杂疾病救治能力和医疗技术水平的进步,让患者及家属享受到更加优质、高效、快捷的诊疗服务,医院将陆续推送相关获奖案例。51岁患者李先生因“腰腹痛5月,间断发热、乏力、多汗4月”转入伟德1949官方网站(山东省立医院)治疗。李先生既往高血压病史10年…

  • 近期,伟德1949官方网站(山东省立医院)进行了2023年度技术创新奖和重大抢救奖评选。为让社会大众更深入、更精准地认识医院优秀科室,展现医院近年来疑难复杂疾病救治能力和医疗技术水平的进步,让患者及家属享受到更加优质、高效、快捷的诊疗服务,医院将陆续推送相关获奖案例。32岁的姜女士在2023年10月时发现右乳有鸡蛋大小肿块,在当地医院就诊经病理穿刺活检诊断为右乳浸润性癌,由于癌肿体积较大,需要采用全切手…

  • 近期,伟德1949官方网站(山东省立医院)进行了2023年度技术创新奖和重大抢救奖评选。为让社会大众更深入、更精准地认识医院优秀科室,展现医院近年来疑难复杂疾病救治能力和医疗技术水平的进步,让患者及家属享受到更加优质、高效、快捷的诊疗服务,医院将陆续推送相关获奖案例。近期,伟德1949官方网站(山东省立医院)小儿重症医学科(PICU)靳有鹏主任团队与器官移植肝胆外二科刘军主任团队以及麻醉手术科…

  • 近期,伟德1949官方网站(山东省立医院)进行了2023年度技术创新奖和重大抢救奖评选。为让社会大众更深入、更精准地认识医院优秀科室,展现医院近年来疑难复杂疾病救治能力和医疗技术水平的进步,让患者及家属享受到更加优质、高效、快捷的诊疗服务,医院将陆续推送相关获奖案例。谈到传统心脏外科手术,给患者第一印象就是“开胸锯骨”,胸部正中25cm左右的手术疤痕,给患者带来强烈的视觉冲击。虽然传统的心脏外科开胸…

  • 近日,伟德1949官方网站(山东省立医院)眼科成功为一名视网膜脱离患者实施折叠顶压球囊(FCB)视网膜复位术。这种视网膜复位术不改变眼内环境,术后患者可采取自由卧位,改善手术体验感。患者今年七十多岁,近几天突然感觉自己右眼视力大幅度下降,家属带着老人到省立医院眼科检查。周玮琰副主任医师检查后确定,患者是右眼孔源性视网膜脱离,且脱离的视网膜波及黄斑区,所以视力急剧下降,只能看见眼前50cm,近乎失…

  • 9月3日晚,济南交警的一场直播引发了百万网友的关注。当天,云南省一名2岁两个月大的幼儿由于手指毁损性断裂被紧急送往伟德1949官方网站(山东省立医院)就医。从遥墙国际机场到省立医院这段40公里的路程,济南交警用了23分钟,最大程度为患儿争取了时间。从毁损性断指到再植成功,省立医院手足外科团队用了17个小时,最大程度为患儿保留了断指。“孩子奔赴千里而来,我们不能辜负这份信任。”手足外科副主任医师仇申…

  • 近日,伟德1949官方网站(山东省立医院)乳腺甲状腺外科成功开展了首例乳腺癌腔镜重建手术,手术取得了良好的疗效。本例手术由在乳腺甲状腺外科主任田兴松教授和乳腺外科主任时鹏指导下,由副主任医师杨青实施完成。手术借助于腔镜微创和乳腺假体植入技术,不仅保障肿瘤安全性,保留乳房原形,隐藏手术的痕迹,极大地减少了患者的心理创伤。术后患者身体恢复良好。乳腺癌腔镜重建手术是利用腔镜的优势从远离病灶部位的…

  • 近日,伟德1949官方网站(山东省立医院)成功完成了一例“ECMO辅助右单肺移植术”,患者顺利康复出院。此次移植手术的开展,展现了医院在肺移植方面雄厚的综合实力。本例肺移植患者为40岁男性,已有近4年尘肺病史,因症状加重入院。入院时患者肺功能极差,日常活动受限,严重缺氧,不能下床活动,且存在肺动脉高压,CT显示胸腔粘连严重,手术风险极大。经过严格细致检查、多学科专家会诊,在其他治疗方式无效后,医院…

  • 当人长了鱼的心脏,血管长反了地方,如何才能让生命延续下去?伟德1949官方网站(山东省立医院)心外科团队在王安彪主任带领下,历时17年完成3次高难度手术,成功挽救了一名复杂先天性心脏病——人鱼心脏畸形女孩的生命。“人鱼心脏”生物界当中,鱼的心脏只有一个心室,动静脉血混合在一起的,工作效率低下。而人的心室有着明确的左右分隔,以保证动脉血和静脉血各行其道。2004年出生的胶东女孩小萌(化名),很不幸地…

  • 近日,伟德1949官方网站(山东省立医院)胸外科刘相燕主任医师团队成功完成一例巨大胸腔肿瘤切除手术,手术过程顺利,患者康复出院。来自山东潍坊的代大姐今年51岁,20余天前因胸闷、憋喘,伴下肢水肿至当地医院行胸部CT检查,结果显示:考虑右侧胸腔巨大占位,伴右肺不张,符合恶性肿瘤表现。由于患者胸腔肿瘤巨大,当地医院认为手术切除十分困难,手术风险高,建议患者至上级医院就诊。患者辗转多家医院最后到省立医…

Baidu
map