医院动态
【引领】山东省立医院心脏大血管外科、儿外科联手成功完成首例经右腋下切口矫治复杂性先心病合并漏斗胸手术
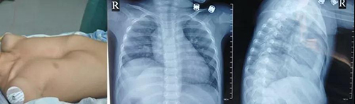
莱芜2岁患儿明明(化名)从小胸前有个巨大的凹陷。随着年龄的增长,这个“大坑”越来越大。去年的一次查体中,明明被检查出患有先天性心脏病——房间隔缺损。焦急的父母经多方打听,带孩子来到山东省立医院。经过入院后的详细检查,明明被诊断为“先天性心脏病、完全性房室间隔缺损、二尖瓣前叶裂并中度关闭不全、肺动脉高压、漏斗胸、右侧膈膨升”。

尽管幼小的明明合并多种疾病,但山东省立医院的专家团队不畏困难、精心救治。经过认真细致的术前讨论,去年6月,心外科、儿外科专家团队联合为患儿实施了手术。手术由心外科主任医师邹承伟、儿外科主任医师刘桂海主刀,心外科副主任医师张海洲、主治医师张涛为助手,主任医师许崇恩、主治医师张军负责体外循环麻,麻醉手术科密切配合。专家团队经过5个小时的奋战,顺利完成了我院首例“经右胸二尖瓣裂修补+房室间隔缺损修补+右侧膈肌折叠+漏斗胸矫治手术”。术后,经心外监护室及心外科病房护理人员的精心护理,患儿迅速恢复并于术后第7天顺利出院。
如今,手术完成已经半年,近期的随访中,我们再一次见到了明明,他胸前的“大坑”已经完全消失,先天性心脏病得到了有效的治疗,家长和孩子们都露出了幸福的笑颜。

术后7天

术后2个月

术后6个月
这个手术的难点在哪里呢?
完全性房室隔缺损为原发孔房间隔缺损、室间隔缺损和房室瓣发育不良的多发畸形,其手术过程中除完全闭合原发孔房间隔缺损、室间隔缺损和防止心脏传导阻滞外,更关键的是妥善修复二尖瓣关闭不全,其入路多选择胸骨正中切口。但本患儿合并漏斗胸及右侧膈膨升,漏斗胸引起的胸廓畸形会对胸腔内的脏器造成不同程度的压迫,导致心脏的移位、转位和大血管的扭曲,影响心脏的舒张及心输出量等;同时,肺通气功能也会受到影响,且容易发生呼吸道感染等严重病症。另外膈膨升同样会导致患侧肺受压,同时还常伴患侧膈肌的反常运动,增加了术后出现肺部严重并发症的风险。
经心外科及儿外科详细讨论后,决定采取多种畸形同时矫正的手术方式,这样不仅可以促进术后心功能的恢复及减少肺部并发症的发生,还避免了分次手术对患儿的心理创伤,同时缩短了患儿术后恢复的时间及减少了治疗的费用。但这无疑对手术者的技术水平及各科室之间合作的默契程度提出了极高的要求。
右腋下小切口途径治疗先天性心脏病的技术关键有哪些呢?
目前很多先心病患儿家长在心脏外科手术治疗时都希望选择病痛轻、切口小、术后恢复快的方式。随着心脏外科技术的提高,右腋下切口途径治疗先天性心脏病越来越得到大家的认可。但是由于心脏位置较深,手术视野显露欠佳,所以该手术入路对于医生的医术水平要求较高。手术优势:(1)切口的长度一般在3-5cm,切口隐蔽,不损伤乳腺组织,不易被察觉到,美学效应显而易见。(2)该手术方式通常是从第3或第4肋间进胸,未切断或去除肋骨,从而保证了骨质和胸廓的完整性,不会伤及胸骨和脊椎,避免术后鸡胸的发生;(3)出血少,手术切口感染率小,术后恢复快。
那么,究竟哪些先心病适合该手术入路呢?通过研究和临床实践认为,房间隔缺损、部分肺静脉异位引流、部分完全性房室通道、室间隔缺损(包括膜周部、干下型、嵴下型)、轻中度右室流出道狭窄、合并小的动脉导管未闭、轻型法洛氏四联症等,都可以通过右腋下小切口进行手术,进而达到美学与心脏手术的完美统一。

