技术引领
【引领】缺失的跟骨神奇“长”出——山东省立医院创伤骨科副主任医师王永会团队完成罕见跟骨再造
看过科幻电影的人
都会对超级英雄可以重新长出断肢
充满了羡慕嫉妒之情

作为普通人类的我们
当然不可能重新长出被切断的肢体。

等等……
真的不可以么?
看看我院创伤骨科副主任医师王永会救治过的这样一位患者。
一般情况:患者王某,男,45岁
主诉:因右跟骨骨髓炎跟骨摘除术后3月余入院。
病史:患者于2015年9月1日在外院因右跟骨骨折行骨折切开复位内固定术,术后出现感染,刀口流脓,形成骨髓炎,多次手术清创治疗效果不佳。
诊疗经过:王主任接诊此患者时,患者整个跟骨完全感染坏死,创面感染脓性渗出非常严重,大量的坏死毒素吸收,患者持续高热。无奈之下,在2017年3月10日,王主任为其施行了右跟骨骨髓炎病灶清除术,右跟骨完全摘除,术后抗感染治疗,患者恢复良好,拄拐行走,骨髓炎未复发,3个月内未再出现感染征象。
跟骨缺失,
患者失去足跟负重点,
行走几乎不可能。
难道就这样拄拐度过一生?
难道再也不能独立行走?
王主任不会让这样的事情发生。

但是这样的疑难病例治疗难度非常大,稍有不慎就会前功尽弃。王主任研究了很多的方案,包括腓骨移植、髂骨移植,但是因为种种原因而一一否决。此时,王主任脑海里冒出了一个大胆的想法,能否利用Ilizarov环形外固定支架,通过延长距骨来再造一个跟骨呢?虽然以前通过外固定支架进行过跟骨延长,但是那都是跟骨部分缺损,通过延长跟骨就可以达到目的,而此病例是跟骨完全缺失,延长距骨能否真的能解决问题呢?几无经验可鉴!

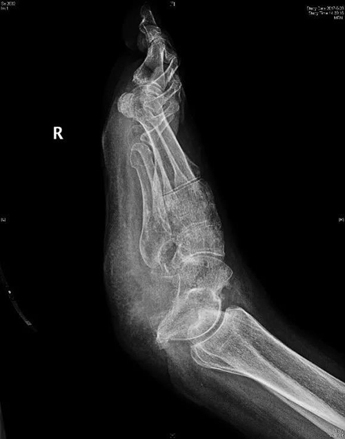
术前X线片可见跟骨完全缺失
于是王主任进行了细致的测量研究,术前设计了完美的手术方案。于2017-07-04在全麻下对其进行了Ilizarov外固定架固定+右距骨截骨延长跟骨再造术。术后定期换药,刀口愈合良好,在术后一周,开始进行延长。每天延长多少毫米,每天改变多少度,王主任都进行了详细的计算,并对患者进行了细心的指导。患者熟练掌握了延长方式及步骤后出院。

安装Ilizarov外固定架,将距骨延长,进行跟骨再造
时间就在不断的复查、拍片、纠正角度的过程中悄悄流逝。不知不觉,1年过去了。
下面是
见证奇迹的时刻

跟骨又“长”出来了!!!
部分跟骨缺损,可以通过腓骨移植、髂骨移植等手术进行修复重建,此类手术需要其他部位取骨,创伤大,容易造成供区疼痛,功能障碍。但是对于跟骨完全缺失的患者,骨移植手术往往不能解决问题。而通过Ilizarov骨延长再生技术,可以很好的解决这个问题,使缺失的跟骨重新长出来。

