精湛医术
山东省立医院口腔科——数字化导板引导下的牙缺失患者即刻种植即刻修复即刻负重技术
种植过牙齿的牙缺失患者朋友多有这样的体验:种植牙前前后后不花个三五个月,牙齿别想好利索!这期间吃饭、说话,甚至发音都成问题,好麻烦好尴尬!
不过,现在大家不必为这个问题困扰啦!今天要介绍的这种技术能够实现即刻种植即刻修复即刻负重,好事何须多磨,轻松便捷省时省力,短时间内让你牙口倍棒,吃嘛嘛香~当然这一切得益于数字化导板引导哦~这么好的技术快来了解!
俗话说民以食为天,牙齿缺失可以说是非常痛苦的事了,种植牙由于其美观舒适、不损伤邻牙以及可以最大限度的恢复咀嚼功能,受到了广大患者的青睐,然而患者往往需要在种植术后3-5个月才能进行牙冠的修复。为了解决这一问题,在张东升教授的带领下,医院从2015年10月开始,完成了近30例的牙列缺失、缺损的即刻种植即刻负重的手术,通过3shape口腔扫描设备以及全景锥形束CT设备相结合,将相关的种植体植入位点以及植入的方向在导板软件上设计并制作好,避开了下牙槽神经及上颌窦等重要解剖结构,简化了手术的过程,减轻了患者的心理负担,紧紧围绕患者种植体植入术后需要即刻有牙的心理,精确实施种植手术,大大节省了患者种植术后等待的时间,让患者手术当天就能重新拥有缺失的牙齿,解决了患者种植术后3-5个月之间的饮食、美观、发音等问题,受到了广大患者的一致好评。
典型病例


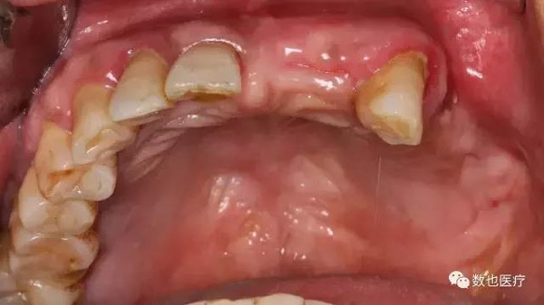
患者男性,有牙周炎,多牙缺失。剩余牙齿不同程度松动,要求固定修复,即刻负重。
种植设计




患者上颌骨条件较差,拔牙后存在较多的拔牙窝。考虑做即刻修复需要较好的初期稳定性,根据患者颌骨情况,计划种植6颗cortex种植体,避开骨缺损区域,远中两颗倾斜避开上颌窦。

设计完成种植导板
临床手术

患者口内照

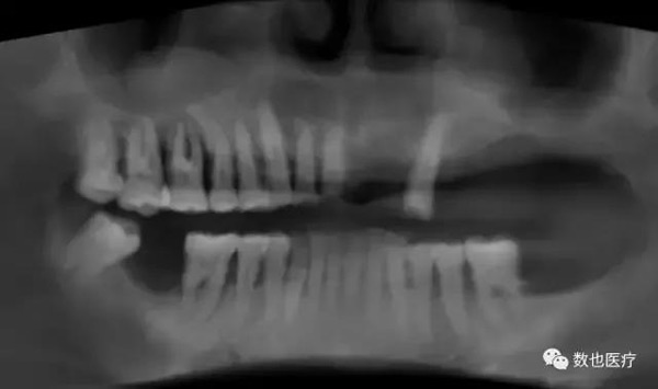
术后全景片,查看植体位置和基台就位情况



临时修复体的制作

制作完成的临时修复体

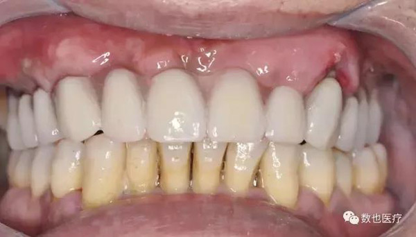
术后患者口内照
关注微信公众号