技术引领
山东首例!伟德1949官方网站成功实施经导管无Mark点全降解封堵器植入术治疗儿童房间隔缺损
近日,伟德1949官方网站(山东省立医院)小儿心脏科团队成功为一名10岁女童实施了山东省首例经导管无Mark点全降解封堵器植入术治疗儿童房间隔缺损。手术效果显著,患儿术后恢复良好,已顺利出院。此次手术的成功完成标志着省立医院小儿心脏科在儿童先天性心脏病介入治疗领域取得新突破,技术实力再上新台阶。
该患儿自幼确诊先天性心脏病、房间隔缺损,随访过程中发现心脏右心进行性增大。术前心脏超声评估显示缺损最大直径1.25cm,周边残端条件良好(均>7mm),符合介入封堵指征。经科室充分讨论并与患儿家长沟通后,团队决定采用全降解封堵器植入技术。
手术在我院特聘教授、上海交通大学医学院附属上海儿童医学中心李奋教授指导下,由主任医师韩波,副主任医师伊迎春、姜殿东、王静等共同完成,心脏超声科主任医师梁皓全程提供床旁心脏超声监测。术中成功建立输送轨道,在经胸心脏超声引导下精准植入一枚直径18mm的无Mark点全降解房间隔缺损封堵器,过程顺利,无并发症。

封堵器植入后超声影像

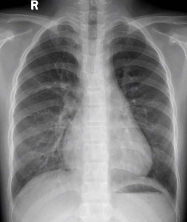
封堵器植入后胸片,无任何异物显影
目前,介入封堵术是先天性心脏病的重要治疗方法。相较于传统金属封堵器永久留存体内可能带来的远期风险,全降解封堵器的最大优势在于其植入后可逐渐被自身组织替代,实现“介入无植入,植入无残留”,从根源上避免了金属异物长期存留的隐患。
作为国家卫健委先天性心脏病介入诊疗技术培训基地,省立医院小儿心脏科年介入手术量逾650台次,累计完成各类儿童心脏病介入手术近8000例,其中先心病介入手术5600余例,射频消融术1700余例,起搏器植入术100余例。科室已常规开展室间隔缺损、卵圆孔未闭的全降解封堵术。此次将全降解技术成功应用于儿童房间隔缺损,是儿童先天性心脏病介入治疗领域的又一重要突破。


