技术引领
伟德1949官方网站创伤中心完成一例定制式肱骨小头置换手术
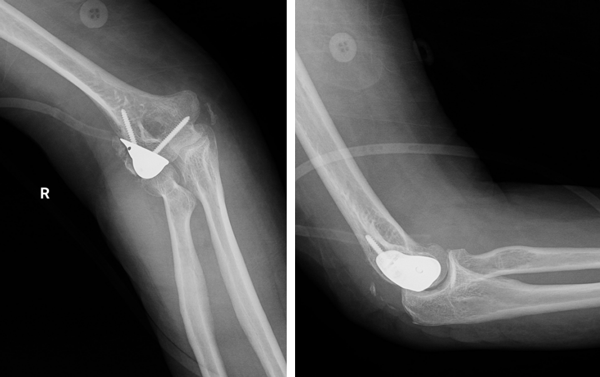
近日,伟德1949官方网站(山东省立医院)创伤中心成功完成一例定制式肱骨小头置换手术,标志着医院在肘关节功能重建领域取得新突破。这一创新术式融合个性化定制、精准重建及快速康复理念,在国内外罕见相关报道。
患者为一名62岁女性,因不慎摔伤导致右肘部剧痛、活动严重受限3个月,外院检查提示右侧肱骨远端骨折。为寻求进一步治疗,患者转诊至省立医院创伤中心。创伤中心李连欣主任详细检查发现,患者存在严重的骨质疏松,影像学显示肱骨小头骨折畸形愈合,近端桡、尺骨结构完整,确诊该患者为“右侧肱骨小头陈旧性粉碎性骨折”。面对骨折畸形愈合合并关节面毁损的棘手情况,传统切开复位内固定方法难以实施,且全肘关节置换手术损伤大。创伤中心团队经过探讨,最终确定采用定制化关节置换治疗方案,修复患者骨折部位、重建肘关节功能。
手术团队实行单一入路实现精准置换与韧带重建,创新性地摒弃广泛暴露的传统做法,选择右肘外侧精准切口,经肘肌与尺侧腕伸肌间隙入路,直达肱骨外侧髁骨折畸形愈合处,最大程度保护了周围健康组织。基于个体化三维影像数据,手术团队预先定制解剖吻合的人工肱骨小头假体。术中精准清除碎骨、修整畸形骨面后,手术团队按规划截骨,完美植入专属假体,并以两枚螺钉实现稳固固定。随后,手术团队仔细清理并辨识出受损的肘关节外侧副韧带及外上髁,将其整体牢固缝合至假体及肱骨外侧骨质,成功重建关节外侧稳定性,确保了术后关节韧带的完整性。



术后,患者由创伤中心康复团队制定并指导个体化康复训练。康复进程显著超出预期:术后仅1周,其肘关节疼痛及活动度显著改善,顺利出院。近期科室随访显示,患者右肘功能恢复良好,屈伸、旋转等日常活动无明显影响,生活质量提升明显,已回归正常生活。


肱骨小头骨折是一种少见的肘部损伤类型,由于其症状不典型,骨折块缺乏明显软组织附着,临床易漏诊。若不及时治疗,可发展为陈旧性肱骨小头骨折,导致肘关节活动受限、疼痛等严重功能障碍。陈旧性肱骨小头骨折常合并肘关节僵硬,骨折块小、界限不清,难以切开复位内固定。虽然肘关节置换术可以作为选择,但手术创伤大,且长期疗效尚存不确定性,此类骨折的治疗常令医生们感到棘手。
本病例定制式单纯肱骨小头精准置换,结合外上髁连同外侧副韧带整体修复治疗方案,集中体现了肘关节骨折功能修复的三大核心技术:个体化定制假体实现解剖匹配、微创单侧入路减少手术创伤、精准的外上髁韧带重建保障远期稳定。此项技术不仅为复杂肘关节损伤患者开辟了新的治疗路径,更将进一步推动创伤修复重建技术向精准化、微创化、个性化迈进。
未来,省立医院创伤中心团队将持续追踪学术前沿,不断探索创新,以科技赋能医疗,运用先进技术提升诊疗水平,助力更多复杂创伤患者重获健康。

