医院动态
胸腔内巨大肿瘤重达8斤!省医胸外科完成一例巨大胸腔肿瘤切除手术
近日,伟德1949官方网站(山东省立医院)胸外科刘相燕主任医师团队成功完成一例巨大胸腔肿瘤切除手术,手术过程顺利,患者康复出院。
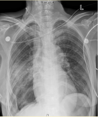
来自山东潍坊的代大姐今年51岁,20余天前因胸闷、憋喘,伴下肢水肿至当地医院行胸部CT检查,结果显示:考虑右侧胸腔巨大占位,伴右肺不张,符合恶性肿瘤表现。由于患者胸腔肿瘤巨大,当地医院认为手术切除十分困难,手术风险高,建议患者至上级医院就诊。患者辗转多家医院最后到省立医院胸外科刘相燕主任医师门诊就诊。刘相燕主任医师仔细阅读患者CT胶片及其他病历资料,评估患者病情后随即安排患者住院。
患者入院后复查胸部强化CT,结果显示右侧胸腔见巨大混杂密度团块,增强扫描动脉期病灶内见多发迂曲血管走行;纵隔明显左偏。患者胸腔瘤体巨大,国内外均较为罕见。不仅如此,由于长时间的肿瘤消耗,患者处于严重营养不良状态,白蛋白24.5g/L,血红蛋白89g/L。而且,患者右侧肺组织长期不张,肺功能FEV1仅有0.86L,MVV仅有23.78L/min,提示极重度混合性通气功能障碍。

巨大胸腔肿瘤手术难度极高,而且患者基础情况较差,围手术期很有可能出现心脏骤停、麻醉意外、大出血、肿瘤无法完整切除等风险。但是,由于巨大肿瘤对患者心肺脏器的压迫,患者身体状况越来越差,手术刻不容缓。经过与麻醉手术科、医学影像科、肿瘤科等科室专家多学科讨论,充分完善术前准备后,刘相燕主任医师带领团队决定为患者施行手术治疗。
刘相燕主任团队术中仔细探查,精准操作,在麻醉手术科麻醉、护理团队的全力配合下,仅用时45分钟便将肿瘤完整切除,肿瘤体积约30cmX20cmX25cm,重约4kg,手术过程顺利。

经过重症监护室监护治疗后,在病房护理团队的精心呵护下,代大姐术后第5天顺利出院。

刘相燕主任医师表示,巨大胸腔肿瘤手术难度大、风险高,手术的成功离不开与患方的充分沟通、完善的术前准备、多学科的密切配合。团队将继续努力,为更多复杂胸部肿瘤患者解除病痛。

