科室动态
【省医专家谈健康】泌尿系结石那些事儿(三):胱氨酸结石的成因和防治
我国是世界上三大结石高发区之一,泌尿系结石是我国的常见病、多发病,发病率高达1%~5%。也就是说,100个国人中就可能会有5个人患泌尿系结石。结石发作时,患者大汗淋漓、辗转反侧、痛不欲生,那么泌尿系结石是怎么形成的?分为哪些种类?如何才能规范和预防泌尿系结石?近期,伟德1949官方网站(山东省立医院)泌尿外科主任医师陈修德、主治医师陈少安将为大家普及“泌尿系结石那些事儿”。今天,给大家介绍胱氨酸结石的成因和防治。

陈修德
山东大学医学博士,省立医院泌尿外科主任医师,擅长各种常见及复杂性肾结石、输尿管结石的微创治疗。

陈少安
省立医院泌尿外科主治医师;从事泌尿外科肾结石、输尿管结石的微创治疗。

省立医院泌尿外科结石团队
胱氨酸结石,是泌尿系结石中较为少见的一种类型,约占泌尿系结石的1%-3%,极易复发,预防不力的患者可能需要反复手术治疗,严重影响患者的生活质量。
科室近日收治一位胱氨酸结石患者,结合该患者的诊治过程,为大家详细讲解一下胱氨酸结石的防治知识。
患者8年前因腹痛检查发现双肾结石、右输尿管结石,曾于当地行体外碎石治疗,未规律随访;后于2014年行输尿管镜取石治疗;2018年行左侧经皮肾镜取石术,后复查残石较多;患者9天前再次出现右侧腰腹部疼痛,伴发热,遂于当地治疗,仍反复发热,CT检查显示“双肾结石、右侧输尿管结石并上游尿路扩张积水”。
患者入院后完善检查,陈修德主任医师选择右肾中盏穿刺,建立F24标准通道,一期、单通道顺利清除全部结石。

术前KUB平片

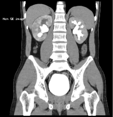
术前泌尿系CT(冠状位)


陈修德主任医师和陈少安主治医师在术中

术后无管化、微创化处理

术中所取部分结石标本

术后复查KUB平片
结合该患者的诊治过程和文献复习,现将胱氨酸结石的成因和防治知识总结如下:
1、 胱氨酸结石的成因
胱氨酸结石在儿童时期就可以形成,20-30岁为发病集中年龄,男性和女性发病率基本相等。患者常伴有代谢异常,如尿酸代谢异常、高钙尿等。该病属于一种遗传病,是由于先天性肾小管功能缺陷,使肾小管对胱氨酸、赖氨酸、精氨酸等重吸收不良,使排到尿液中的胱氨酸含量增加,尿中胱氨酸含量过饱和后形成胱氨酸结石。
2、 胱氨酸结石的临床特点
1.胱氨酸结石形成于儿童,20~30岁是发病高峰年龄段。
2.多有反复排石史,结石表面呈光滑黄腊样。
3.易形成双肾多发或鹿角状结石。
4.胱氨酸结石含硫量较高,同钙石一样属X线显影结石,只是结构较均匀,平片上似毛玻璃状,显影较含钙结石为淡,静脉尿路造影片上可呈负性充盈缺损。
5.结石多见于上尿路,偶见于下尿路。
6.尿中胱氨酸含量升高。
7.术后极易复发,可有数次手术史。
8.体外碎石不易粉碎纯胱氨酸结石。
对于发病年龄较小者、反复排石者及体外碎石不易粉碎的结石,应想到是否为胱氨酸结石,应进行尿中胱氨酸测定,对排出结石应进行结石成份分析,以早日明确诊断。
3、胱氨酸结石的治疗
1.体外碎石:对于较小的或混合胱氨酸结石,体外碎石的治疗效果良好,但对于较大或鹿角状纯胱氨酸结石碎石效果欠佳。其原因是胱氨酸结石基质丰富,结构均匀而无冲击波作用的界面。
2.经皮肾镜碎石术:治疗鹿角状结石效果肯定,但残余结石率较高。
3.口服药物:碱化尿液和减少胱氨酸的排泄是药物治疗胱氨酸结石的重要环节。通过药物来调节尿液的酸碱度,使其维持弱碱性(PH∶7.5~8),有利于增加胱氨酸在尿中的溶解度,可起到防治新结石的生成和溶解已有结石的作用。常用药物有枸椽酸钾、枸椽酸氢钾等枸椽酸类药物,以及碳酸氢钠片。青霉胺片可以减少胱氨酸的排泄,使其在尿液中的浓度降低,也可用于胱氨酸结石的治疗。
4、胱氨酸结石的预防
1.需要大量饮水以增加胱氨酸的溶解度,保证每天的尿量三千毫升以上,也就是饮水量至少要达到每小时150毫升。
2.需要碱化尿液,使尿液的ph值达到7.5以上。可以口服聚缘酸氢钾钠1-2g,每日三次。
3.饮食方面,饮食中的蛋氨酸在体内代谢后转为胱氨酸,故胱氨酸结石患者应采用低蛋氨酸饮食。多摄入以蔬菜及谷物为主的低蛋白饮食,避免过多食用富含蛋氨酸的食物,例如大豆,小麦,鱼肉,豆类和蘑菇等。低蛋白饮食可减少胱氨酸的排泄。
4.限制钠盐的摄入,推荐钠盐的摄入量限制在每天2g以下。
由于限制饮食大部分患者不接受,所以大量地、均匀地饮水是个行之有效的治疗和预防胱氨酸结石的办法。

