医院动态
另辟蹊径 伟德1949官方网站消化内科医生巧用胃石碎石器套取食管巨大骨性异物
近日,伟德1949官方网站(山东省立医院)消化内科医生在内镜下另辟蹊径,巧用胃石碎石器,成功为一名辗转多地、束手无策的患者套取出食管巨大骨性异物。
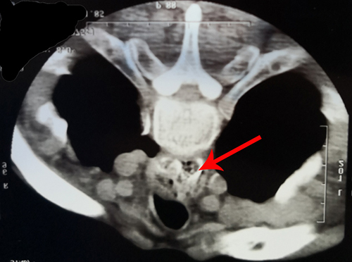
食管异物是医院消化内科常见急症,多以枣核、鱼刺为主。患者男性、65岁,近期患有脑梗塞,误食鸡骨后即感进食困难,在当地县医院行CT提示食管骨性异物。

箭头所示为异物
当地医院尝试胃镜下取出异物,但因异物巨大,反复操作1小时余,始终无法取出,患者痛苦难耐,医生们束手无策。

患者遂转至当地三甲综合医院,再次尝试内镜下异物取出,因异物过大过硬,常规内镜下应用的异物钳或者圈套器无法牵拉住异物,反复操作取出困难,推荐到省立医院就诊,如异物仍无法取出,建议胸外科手术。
因患者有脑梗塞病史,异物嵌顿已3天无法进食水,且左肺存在炎症,体质弱,异物取出刻不容缓。消化内科副主任医师葛剑接诊后,完善相关检查,会同相关专家反复评估病情,征得患者及家属同意后,联系我科消化内镜中心,拟行食管异物取出术。科室消化内镜团队制定了三个手术方案。因患者体质差、反应迟钝,误吸风险大,首先尝试清醒状态下内镜异物取出术;如异物取出困难,则启动第二方案,联系麻醉科、耳鼻喉科,在全麻气管插管监护下,使用肌松剂松弛食管括约肌,尝试消化内镜或硬式喉镜下取出异物;如仍取出困难,启动第三方案,联系胸外科或耳鼻喉科手术治疗,但因异物位于食管上段,手术风险及创伤极大。
内镜手术在消化内科许洪伟主任指导下,由副主任医师李宾操作,刘华琳护士长配合操作。内镜下见异物巨大,嵌顿于食管上端致管腔扩张,异物钳无法夹持异物,更换圈套器后也无法套住异物。

尝试数分钟后,异物取出困难。李宾副主任医师当机立断,在许洪伟主任指导下更换内镜下用的胃石碎石器套取异物。胃石碎石器主要用于粉碎胃内结石,此次并不用于粉碎患者食管内的骨性异物,而是另辟蹊径,应用碎石器前端钢丝套住异物,再绷紧碎石器后端牢牢固定异物,调整牵拉方向,让患者做吞咽动作以松弛食管上段括约肌,成功拖出大小约4.0cm×2.5cm骨性异物。


整个内镜手术过程仅耗时13分钟。因异物过大且嵌顿于食管,碎石器钢丝取出后已弯曲变形,可以推断出普通内镜器械根本无法套取或牵拉住异物。如此大的异物在食管内存留3天,极易出现食管壁缺血、坏死,严重者可能出现食管穿孔。李宾副主任医师再次进入胃镜,发现原食管异物存留的位置,食管黏膜破损、溃疡明显,穿孔不能排除,在许洪伟主任指导下,给予放置胃管,行肠内营养,并协调消化内科病房石秀菊护士长安排患者住院进一步康复治疗。


