医院动态
【引领】山东省立医院心内科成功实施首例左束支起搏CRT-D手术
67岁的老年患者,
扩张型心肌病,心脏射血分数低,心力衰竭……
左束支起搏CRT-D手术,准备!
起搏稳定,起搏阈值低,更易操作,
费用较低,适用范围更广……
医生们2小时的密切配合,成功完成手术,
让我们一同感受山东省立医院
这台首例的左束支起搏CRT-D手术吧!
近日我院心内科心电生理和起搏团队在刘同宝教授和宋尚明教授的带领下,成功为一名扩张型心肌病患者实施我院首例左束支起搏的CRT-D手术,填补了我院的空白,使我院生理性起搏技术水平又上了一个新的台阶。
慢性心力衰竭(心衰)是各类心脏疾病的严重阶段或终末期表现,尽管指南推荐"金三角"药物治疗可改善患者预后,但5年病死率仍然很高。心脏再同步化治疗(CRT)和埋藏式除颤器(ICD)可改善心衰患者生活质量,降低病死率,减少心脏性猝死的发生,已成为目前慢性心衰的主要治疗方法之一。目前主要有三种心脏再同步化治疗方式:传统CRT(冠状静脉途径)、希氏束起搏和左束支起搏。相较于其他两种方式,左束支起搏具有起搏稳定,起搏阈值低,更易操作,费用较低,适用范围更广,更符合生理性起搏的优点。
患者是一名67岁的老年男性,患有扩张型心肌病,因完全性左束支阻滞,导致左右心室不能同步射血,进而引起心力衰竭而住院,心脏射血分数只有32%,严重影响生活质量。


术前心电图呈CLBBB,QRS150ms

术前心脏B超:LVEF32%,室间和房室间不同步

术中测试HV间期152ms,提示阻滞点在His以下,不适合His起搏,可行左束支起搏

术后心电图CLBBB纠正,QRS宽度为100ms
刘同宝教授和宋尚明教授带领的心电生理和起搏团队术前开展了多次讨论,认为该患者扩张性心肌病药物治疗效果有限,左束支区域起搏的三腔起搏器(CRT-D)能够改善患者心脏收缩的同步性,是目前最好的治疗方案,并制定了缜密的手术方案。经过刘同宝教授和宋尚明教授团队2小时的密切配合,成功完成手术,纠正了患者的LBBB,目前患者情况良好。

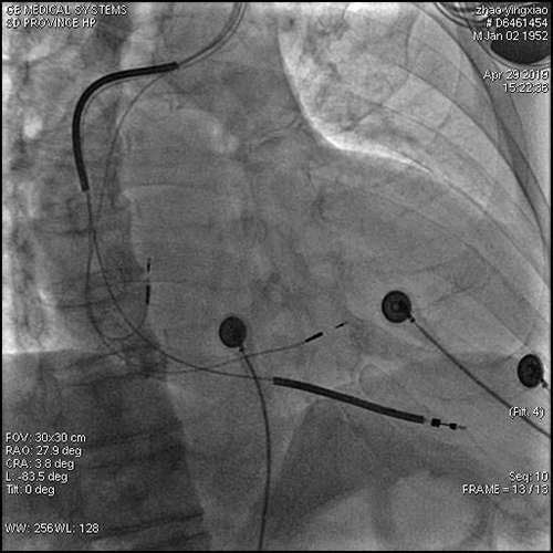
术后影像:RAO体位

术后影像:LAO体位
左束支起搏大致操作过程: 1.记录到希氏束电位;2.起搏观察希氏束起搏电图,测量HV间期,看是否能够纠正LBBB;3.记录到右束支电位;4.高电压起搏右束支,观察是否出现LBBB消失,QRS变窄;5.将主动电极旋转使其穿过室间隔,到达左束支区域,并记录到左束支电位;6.测试起搏参数,观察LBBB消失及QRS变窄情况;7.植入心房电极,关闭囊袋。
左束支区域起搏作为生理性起搏的新技术,能最大限度在保证起搏安全性的基础上保持左室电同步,主要适用于起搏依赖伴/不伴心衰的患者,以减少远期因非生理性起搏导致的心衰发生率甚至改善已经出现的与心脏电传导异常相关的心衰(尤其左束支传导阻滞者)。随着器械的不断改进、临床研究证据的积累,其有可能成为最重要的生理性起搏技术之一,为广大需置入起搏器患者带来福音。

