您所在的位置:
首页
>>>> >>
科室动态
我院呼吸内镜室再次成功救治大气道重度狭窄病人一例
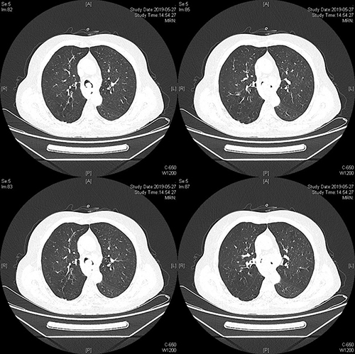
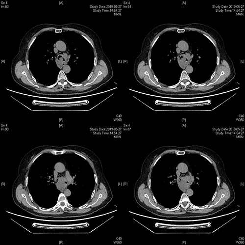
5月27日下午14:00,一名大气道95%狭窄的高危病人,搭乘外地120急救车慕名来到我院呼吸与危重症医学科姜淑娟专家门诊就诊,经初诊后,由于情况紧急,立即通过绿色通道办理入院,并同时安排复查胸部CT了解病情。
经进一步检查发现,该患者大气道狭窄95%,病人随时可能因为痰液窒息而亡!


时间就是生命!姜淑娟教授第一时间启动应急预案,带领呼吸内镜科展开与死神争时间、抢速度的较量!病人十分危重,已无法平卧,只能半卧位急诊手术!
大气道隆突位置几乎被堵死了,仅仅剩下一个小缝隙在喘气

治疗前镜下情况
在予以隆突、左、右主支气管圈套、电切及氩气反复治疗后,病人脉氧从75%升至95%,同时病人也从半卧位状态改为平卧位。

治疗后镜下情况
治疗以后可见左、右主支气管远端完全通畅,肿瘤原发于隆突位置。



经过医护人员的全力救治,目前病人已安返病房,待下一步病理诊断后进行针对性治疗。
同时,要提示一下,许多大气道肿瘤的病人发病之初仅表现为咳嗽、咳痰,误诊为哮喘,反复多次治疗效果不佳,甚至出现像呼吸困难、窒息感再来诊,既耽误了最佳诊治时间,又增加了诊治风险。因此,出现亚急性咳嗽(3-8周)或慢性咳嗽(8周以上)的患者,建议第一时间行胸部CT检查排除大气道或肺内器质性病变,而不是一味的止咳、平喘治疗。

