医院动态
山东省立医院脊柱外科治愈合并慢性粒细胞白血病的强直性脊柱炎后凸畸形患者
半年前,小刘突感腰背部隐痛,尤其是在长时间行走、站立后症状更加明显。小刘原以为休息后便能好转,然而休息了多日,他的症状仍未有明显减轻。且随着时间的推移,小刘脊柱逐渐后凸,走路时情况更加严重。小刘接受了保守治疗,但效果不佳,活动时还感到了胸闷不适,便到当地医院就诊,被诊断为“强直性脊柱炎”,医生建议他进行转院治疗。
听从了当地医生的建议,小刘来到山东省立医院脊柱外科就诊,经过相关检查,确定为强直性脊柱炎。在经过三次血常规检查,血液科、风湿免疫科会诊,以及其他检查后,最终考虑小刘患上了慢性粒细胞白血病。
考虑到小刘的病情,如果他选择手术治疗,风险极高,因为若术后患者出现白细胞骤降,感染风险会增加。因而建议小刘暂时保守治疗,控制白血病病情。听从医生的建议,小刘在药物治疗一月后白细胞降至正常水平。
然而,因强直性脊柱炎后凸畸形,小刘的生活已经受到了严重困扰,“想抬起头来”成为他难以实现的愿望。经过血液科、麻醉科、风湿免疫科、血液科等多学科会诊,专家一致认为白血病增加了脊柱手术风险。虽然困难重重,但考虑到小刘及其家属的渴望,经过相关评估和严密准备后,蒋振松主任医师团队决定为其进行手术。
但在做术前备血时,发现小刘的血型为罕见的“熊猫血型”,这无疑增加了手术的额外风险。蒋振松团队迅速与血液科联系,通过鼓励患者家属献血,以及与血液中心联系积极调度等方式后,终于为小刘准备了宝贵的8U RBC、800ml血浆、10U冷沉淀、1个治疗量血小板。在各项工作准备就绪后,蒋振松团队为患者设计并进行了脊柱后凸畸形截骨矫形植骨融合内固定手术。
术前大体像

术前影像图像


术前手术设计

术后大体像

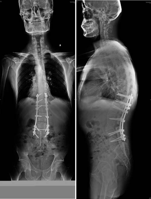
术后X线

术后,小刘的心肺功能得到了改善,营养状况得到提升。蒋振松团队为他制定了康复计划,并联系了血液科协助控制慢粒病情。小刘及其家属对矫形效果非常满意,对蒋主任及其团队高超的医术非常认可。
蒋振松主任医师介绍说,强直性脊柱炎属于慢性自身免疫性疾病,主要累及脊柱、骶髂关节,引起脊柱强直,活动困难。并可有不同程度的眼、肺、心血管、肾等多个器官损害。对于强直性脊柱炎的治疗,一般以控制病情为主,祛除炎症,保护脊柱,避免反复复发。目前主要是可以使用柳氮磺吡啶或者是利妥昔单抗等生物制剂治疗,平时需要睡硬板床,还有加强腰部的活动锻炼。强直性脊柱炎进展快慢不同,进展到严重后凸畸形时要想改善外观只能通过手术进行矫形,同时还需要控制稳定避免进一步加重。该患者较年轻,病情进展较快,同时还患有慢性粒细胞白血病,因此术后控制病情发展、监测慢粒控制情况是重中之重。

